HBRIは、専門の実験室およびバイオマーカーサービスを提供する広範な実績を持っています。それは私たちのDNAに刻まれている。初期の科学的知見を通じて、お客様のプロトコル開発の最適化をお手伝いできます。また、次世代のアッセイは、多因子バイオマーカーを通じて、免疫プロファイリングに対してターゲットを絞った、あるいは広範なアプローチを提供できます。当社のカスタマイズされたサービスを活用して、科学的専門知識に基づいた革新的で柔軟なソリューションを得られます。

当社専門ボソリューシュソンははだ。中央研究所 他の中央央実験住バボーを光ファイバー 他の中央実験住居バイイー с当の特徴・媛血趣の如んにより、基礎

サービス

実験室、アシスタント、パッティング、テスト、チューブ、イントゥ、ホルダー、クローズアップ、表示

バイオ分析ソリューション

HBRIは、前臨床段階から市販後段階まで、生物学的製剤およびバイオシミラーをサポートする専門的なバイオ分析ソリューションを提供しています。当社の専門知識は、ELISA、MSD-ECL、細胞ベースのアッセイなどのプラットフォームを用いて、薬物動態、免疫原性、バイオマーカー解析に幅広く関与しています。

バイオ分析ソリューション
チーム、薬剤師、勤務中、薬物開発、発見、開発、新規、ワクチン、滅菌

前臨床サービス

ウイルス学および免疫学を専門とする主要な診断および臨床試験運営サービス企業として、HBRIは、感染症を標的とする抗ウイルス薬、医薬品、抗体およびワクチンの安全性、有効性、および(免疫)毒性を試験するための幅広い前臨床サービスを提供しています。

前臨床サービス
男性、医師、持久力、シリング、製造、コロナ、19、ワクチン接種、注射、用量

ウイルス学およびワクチンラボ

当社のサービスを通じて、ワクチン、モノクローナル抗体、抗ウイルス薬に関する大規模で後期段階の臨床試験プログラムを通じて、初期段階の臨床前研究(in vivoモデルを含む)から製薬、バイオテクノロジーおよび学術界を支援しています

ウイルス学およびワクチン研究所
シャッターストック 2286937069 スケール付き

アッセイ開発および技術移転

HBRIは、オーダーメイドのウイルス学的、免疫学的および分子的アッセイも開発しており、アッセイ開発のあらゆる段階において豊富な経験を持っています。

アッセイ開発
svg%3E

ゲノミクス

HBRIのゲノム解析における30年以上にわたる経験を活かし、研究をサポートします。

ゲノミクス
svg%3E

免疫学

HBRIは、有効性、安全性、受動的予防接種、免疫原性、薬物動態、病原性、抗ウイルス療法、抗ウイルス予防、薬物送達、抵抗性変異など、研究課題を外部に委託することに頼ることができます。

免疫療法
svg%3E

フローサイトメトリー

科学チームと連携し、FCMが研究をどのように強化し、必要なパネルの開発を支援するかを学びましょう。

フローサイトメトリー
svg%3E

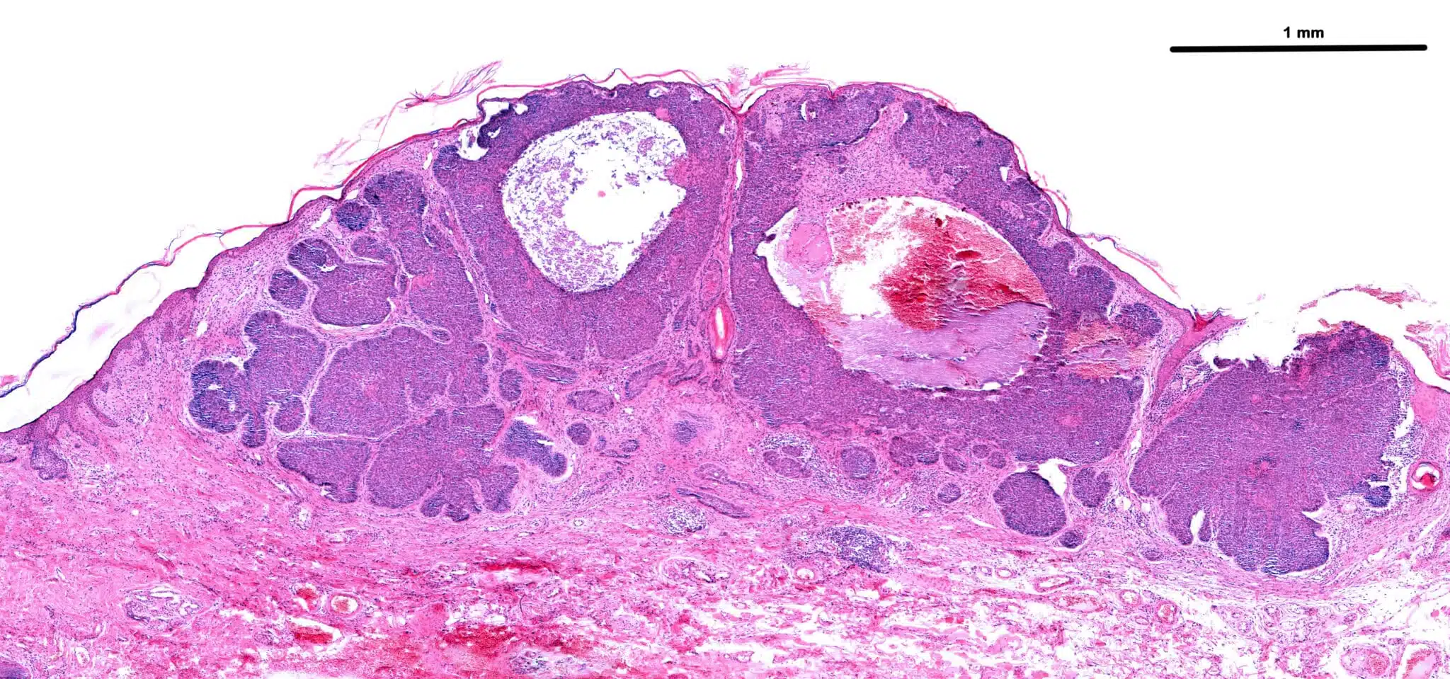
解剖学的病理学

当社は、ゴールドスタンダードの組織調達、加工および分析サービスを提供することに尽力しています。

病理組織解析
svg%3E

バイオマーカー

循環器バイオマーカー分野における当社の経験をご確認ください。統合された臨床試験用ラボおよび診断ソリューションのグローバルパートナーとして、HBRIの目標は、お客様のプロトコルを最適化する早期の科学的知見を生み出すことです。

バイオマーカー
svg%3E

プレアナリティクス/PBMC処理

HBRIでは、PBMCsの分離段階における機能テストと分析テストに特化しています。世界中のサンプル採取から加工、配送、取り扱い、保管および分析に至るまで、お客様に高品質な品質を保証しています。

PBMC処理
svg%3E

データインテリジェンス/バイオインフォマティクス

HBRIは、ウイルスおよび微生物叢のNGSデータを分析するための独自のパイプラインを開発した。経験豊富な科学者とバイオインフォマティシャンのチームが連携し、科学的に検証された完全 GxP に準拠したパイプラインとFDA準拠のパイプラインを提供しています。CDISC規格に従ったデータ転送フォーマットの設定をお客様にサポートできます。

データインテリジェンス

専門家にご相談ください。臨床試験の進展をどのように支援できるかをご覧ください