現代の腫瘍学試験の複雑さは、独自の課題をもたらす バイオマーカーの同定と厳格な規制要件への検証 複数の地理的地域にわたる専門的な検査の必要性

成功は、可能な検査サービス提供者との提携にかかっている 科学的卓越性、運用効率、およびグローバル性を実現 開発過程における一貫性。

HBRIは、深い科学的専門知識とグローバルな広がりを融合し、あなたの力を発揮させます 筋腫瘍や血液学的悪性腫瘍を標的とする腫瘍学プログラム。包括的な 初期発見から後期臨床試験に至るまで、アプローチは immunoassaysフローサイトメトリー、ヒストアソロジー、免疫測定に特化した能力、 次世代シーケンシング(NGS)。

svg%3E

専門分野

多発性骨髄腫

多発性骨髄腫専門医 発見から前臨床研究、第III相に至るまで、幅広いMM研究を支援するpreclinical studies 登録試験およびその先。

プロジェクトの95%以上は以下を含みます 特にフローサイトメトリー(FCM)の特殊試験 細胞遺伝学、qPCR、DDPCR、NGS 包括的な骨髄腫パネル 250以上のIHC simplexおよびマルチプレックスプロトコル、およびその他多数。

調べてください もっと見る
svg%3E

経験と成功の実績

svg%3E

170

2018年以降に実施された腫瘍学試験

svg%3E

約75%

Of trials involve specialty testing

svg%3E

26k+

Screened patients

svg%3E

28

Market authorizations / expansions

オンコロジー臨床試験における臨床検査のベストプラクティス:活用 カスタマイズ性と柔軟性

2024年までに新たに2840万件のがん症例が予測される中、 治療の改善に向けた緊急性はかつてないほど高まっている。急速さは 個別化治療の進展により、腫瘍学が変化した さまざまな新たな配慮、複雑さ、および課題が伴った スポンサーは克服しなければならない。

このガイドは、アジャイルで柔軟なソリューションをどのように採用しているかを明らかにします。 適応型治験設計およびカスタマイズ可能なアッセイは、腫瘍学の臨床試験をサポートできます。

ガイドをダウンロードしてください
svg%3E
専門腫瘍学研究所 サービス

当社の腫瘍専門医が、お客様のチームと連携して業務を行っています プロトコル設計から研究完了まで、科学的成果を活かす 洞察、グローバル規模
現代が抱える課題を克服するために、運用面での卓越性が必要である がん研究。

svg%3E

バイオマーカー

HBRIはバイオマーカーのアッセイ開発に対して個別化されたアプローチを採用しています 成功確率を向上させるための検証。

五大陸にわたる実験室ネットワークにおける主要な科学者たち 初期の科学的知見を生み出すための完璧なパートナーを作りましょう プロトコルを最適化し、洞察を提供するインサイト 腫瘍学に最も適したバイオマーカーおよびアッセイ 研究。

詳細情報
svg%3E

免疫学

HBRIには外部委託を任せることができます 有効性、安全性、受動的な研究に関する質問 免疫、免疫原性、薬物動態、 病原性、抗ウイルス療法、抗ウイルス予防 薬物送達、抵抗性変異体、およびその他。

設計もお手伝いできます。 複合体を考慮する専門ベースのアッセイを検証する hematological malignancies固形腫瘍と血液学的悪性腫瘍の両方の腫瘍微小環境。

もっと見る 情報
svg%3E

フローサイトメトリー

25年にわたる広範な経験 臨床におけるフローサイトメトリー試験の提供に関する専門知識

フローサイトメトリーを使用してモニタリングを行う 免疫フェノタイピング、免疫細胞の活性化、薬物受容体 血液サンプルにおけるCAR-T細胞機能、 骨髄吸引(BMA)と凍結保存されたPBMC。

もっと見る 情報
svg%3E

アッセイ開発および技術移転

HBRIはオーダーメイドの開発も行っています 分子アッセイは、すべての段階で非常に経験豊富です 開発をアッセイ。

究極の自信を持て。 専門ベースのアッセイのそのアカウントの設計と検証 両方の固形腫瘍の複雑な腫瘍微小環境について そして血液学 悪意ある行為。

詳細情報
svg%3E

次世代シーケンシング

HBRIの30年間を活用 ゲノム解析における経験が、あなたのサポートをサポートします 研究。

NGSに関する広範なパネル評価 血液学的悪性腫瘍および固形腫瘍(オンコサイン) ゲノミクス情報を自分のデバイスから解くことが可能になります 標本。

詳細情報
svg%3E

バイオインフォマティクス

タイムリーで高品質な提供 適切なフォーマットのデータは、成功にとって極めて重要である 臨床試験。

HBRIは独自の発展を遂げました NGSデータの分析に特化したパイプライン。私たちの 経験豊富な科学者とバイオインフォマティシャンのチームが働いています 完全GxPおよびFDA準拠のパイプラインを提供するために連携して 科学的に検証された。データを設定する CDISC規格に従った転送形式。

もっと見る 情報

専門的なラボサービスについて、あなたをサポートできるものについてご紹介します 臨床試験

よくある質問

The Cerba OncoSign 600+ is our comprehensive genomic profiling panel that analyzes 638 genes associated with cancer. This broad-panel Next Generation Sequencing (NGS) assay is designed to unlock critical genomic information from your specimens, enabling detection of rare and actionable driver mutations. The OncoSign 600+ can determine tumor mutational burden (TMB), microsatellite instability (MSI), and homologous recombinant deficiency (HRD) status, providing valuable insights for patient stratification and therapeutic targeting. This advanced panel is particularly valuable for identifying biomarkers that may predict response to targeted therapies and immunotherapies.

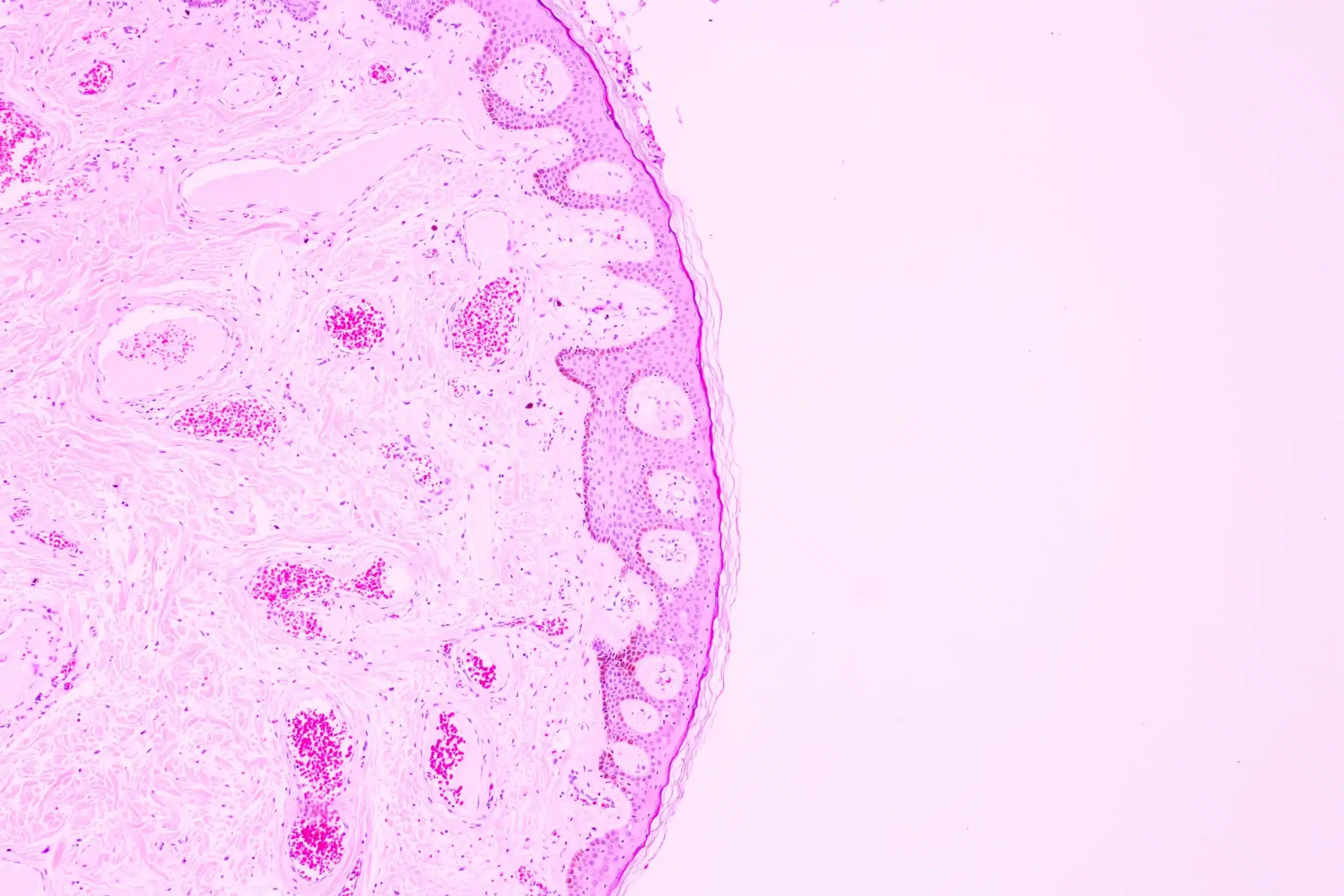
HBRIは、グローバルに広範なIHCおよびヒストアロジーサービスを提供しています ヒト向けに利用可能な250種類以上の認証済みバイオマーカーを備えた実験室ネットワーク 組織。当社の能力には、IHC simplax および multiplex プロトコルが含まれます。 蛍光インシチハイブリダイゼーション(FISH)および各種染色技術。 多発がんにまたがる包括的な腫瘍特異的検査を提供します 肺、乳房、大腸など、さまざまなタイプ。私たちの歴史学 サービスは、国際的なデジタル・パソリと統合されたプロセスを特徴としています 認定病理学者のネットワーク、Halo®を用いた高度な画像解析 およびVisiopharm®ソフトウェア、およびAI支援定量化ツール。あります PD-L1、HER2、ER/PR、およびその他の重篤ながんに関する特別な専門知識 バイオマーカー。

フローサイトメトリー(FCM)における25年にわたる豊富な専門知識を持つHBRIは、次のように述べています 血液学用のカスタマイズされたパネル設計、開発、および検証 悪性腫瘍および細胞・遺伝子療法(CGT)研究。当社のサービス 免疫フェノタイピング、免疫細胞の活性化、薬物受容体のモニタリングを含む 血液サンプルや骨髄における占有率、およびCAR-T細胞機能 熱望し、そして絶好調なPBMC。専門的な経験を持っています 多発性骨髄腫フェノチピックアッセイ、二次エンドポイントにおけるCAR-T列挙 非T細胞におけるCAR-T発現を検査するための評価および不純物パネル。 当社のFCMラボは、ニューヨーク、ゲント、上海に戦略的に位置しています。 台北およびシドニー。調和されたプロトコルにより、グローバルなアクセシビリティを確保。

HBRIは、複数の疾患による最小残留性疾患(MRD)検出を提供します 補完的な技術。フローサイトメトリーベースのMRD検出を提供しています 血液学的悪性腫瘍に関するユーロフロープロトコルに従い、特に 複数の骨髄腫研究。NGSベースのMRD検出は、 テストポートフォリオにおける新興分野において、当社には技術力が備わっています これらの高度なアッセイを開発・実施する。私たちの科学チームは働くことができます 最適なMRD検出手法を、あなたの特定の用途に最適に設計するために 伝統的および革新的な分野における当社の専門知識を活かし、ニーズを研究 臨床エンドポイントをサポートする検出方法。

HBRIは2018年以降、約170件の腫瘍学臨床試験を実施しており、 固形腫瘍(55%)および血液学的悪性腫瘍におけるバランスの取れたポートフォリオ (45%)。当社の業務は28件の市場承認および拡大に貢献しました。 承認された4つの細胞および遺伝子療法(CGT)および6つの免疫腫瘍を含む 製品。あらゆる段階にわたる臨床試験を、以下の段階で支援してきました フェーズIおよびII研究における特に豊富な経験。私たちの約75% 腫瘍学の臨床試験には専門検査サービスが含まれており、すでに導入しています 26,800人以上のスクリーニングを受けた患者から採取されたサンプル。私たちの経験は多岐にわたります 再発または難治性の多発性骨髄腫を含む複数の適応症 転移性乳癌、神経芽細胞腫、非小細胞肺がん、および 他にもたくさん。

HBRIは、セルバ・オンコサイン(CTDNA)パネル(50遺伝子)を特別に設計しています 固形腫瘍における液体生検法の応用。この循環腫瘍DNA パネルは非侵襲的なゲノムプロファイリングを可能にし、ドライバーの検出を可能にします 変異、治療反応のモニタリング、および同定 簡単な採血による抵抗メカニズム。当社のCTDNA機能 治療選択を含むさまざまな用途に使用できます。 残存疾患の最小検出、および腫瘍の縦断的モニタリング 進化。CTDNAのアプローチは、お客様の特定の研究に基づいてカスタマイズできます 新しいパネルの開発や既存のパネルへの遺伝子の追加を可能にするニーズ 臨床試験において関心のある特定のバイオマーカーをターゲットとする。

HBRIは、当社のグローバルラボラトリーにおいて、最高水準の規制基準を維持しています ネットワーク。当施設では、CAP/CLIAを含むさまざまな認定を受けています (アメリカ病理学者協会/臨床研究所の改良学) 改正案) 米国における当社の拠点における、ニューヨークの研究所も同施設に使用されています ニューヨーク州保健局認証。我が国の欧州施設 ISO 15189/17025は認証されていますが、当社のアジア太平洋地域の研究機関は維持管理を行っています ISO認証およびCAP認証の両方。具体的には、私たちの流れ ニューヨークのサイトメトリーハブはCAP/CLIA認定を受けており、当施設はGent施設を保有しています ISO 15189(BELAC)および上海の当社の実験室であるCAP/CLIA認証 ISO 15189(CNAS)およびCAP認証、および台北の拠点を維持しています CAP認定を受けています。これらの包括的な認証により、当社の施設が確実に確保されます 臨床試験の厳格な品質基準を満たす。