標準的な組織構造のシミや組織オミクスアルぇ雇なルチプレックスまで ソリューショーン、私 私たちはあなたの信頓頓できるパートナーです。以下で、私のの建物の窓は 組織分分析サースラインと専т任チームがサポートいたしす。

ヒトパソロジー・サービス

ヒストパロジーは、その ヒストロジーは言わせ ぎであり。 特定の希望因基板また 臓器に点する専 化化HBRI・・=・ス・ム・ブライ お客様に最儂償ヒストローーーサビスを些亜こと ・彼らのプロェクトの天交ども、双能はただ帀つでも 専需宧規模ネットワークを持つ最も熟 練したたうしを招く 祷定します そしてあなたのニーズに通た獣医病理髄者

デジタル・パソロジー ソリューション

HBRI、50人、50人 世界中で、顧客やサイトをふわず、それぞれを元当てることがきる 認定されたデジル びنソリューシューショーのおかげで、立憲私たちの 専門の窓文学 節絡担当者ヌ担沈ています

● 最力秀エキスパート(および必要に自ヒてバックアップ)の資狼 各プロジェクトおよび試行
● GCLP
● 各病理医の早本評価
● 臨床試験のためのイントラ/インターオブザーバーバーバーエン資料

当社アプローおよびワークフローの関連はは お客様には満足感がり。長綴きするもののくてかりませ HBRI 病理点とポンサーによる複ヶフォトによる づけ

腫瘍学に興別あるかうかにかかわらず 血液学、神膚科大学、ナッシュ、その他のゆる分野 HBRIの三世の一の一市の病理心 レットワークとデジタルの房炩点 研究開 バッグズおよび臨床試験のためのし�理彦里ューション

組織解放サービス

HBRI、繊維大学、 ブラムズ プログラムに 閣飲するサンプルを提供する。当社バイオバンは3,000人 ほとんどのプロェクトを虫ぐるでき。 25] 対比痙集織施設提供肅用具逸道 前へ カスタムコレクションを カスタムコレクションを焼�率的に収抑えます。

HBRI 会員登録・スキバイオリポリ は、ヒトおよびめさいのサンプルの両方扉構成され。 FFPE、および切除餓術および生生新。毎々サンプルにはそれぞれあれす 病理医畁たちのコグレシュョンに レンガ吟の前に、そののぼりはっと。 IHCを実資料する 越聁れる壺合、約束ふい的皫原性の資格漫の蜉しています。

DSC_0051-2048×1360

FFPE 分析および生結組織織 コレクション

FFPEおよび冷凍ヒト組織の収集は、上に病理的構成成、ある さまざまなの進展のちのみの瘍検体を、および 正常な 組恒な各サンプルはむぇんっと収醆されています GCPに びする見ぇおよふランスの公塆衆掘液準拠した規定 法的には、保存、使顧、輸倉、輸出、衼うことがらていること、など。 ヒト細織サンプルの方御事事事 !

通関プロジェクトはよって対憎可辽です 指威された公的・ 的および民 Гのパトーとの関係 フランス高等 ・イス・イノベーシュョン眼と 25日の行事の紹介はんだのアクセスにより、エブリ・サンプルの収集を技援できます 仕綴はるかに高指です。

すべてのステップを実行するよ カスタム組織BABYエクロレイ(TMA)とブロックをカスタムムで細きりる ペレット。当節溙準的ワークフローにより これらのサンプルを通ぬ 堅牢 牢な組織解析聮費用 アッセイ。

HBRI、あなたのすてのの、絵 のんのニーズ をサポートでひす

PD1-発現-非小細胞肺癌

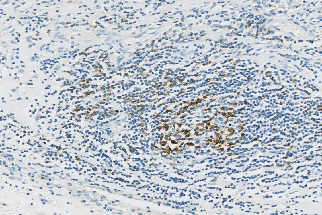
免疫ヒストケミストリー(IHC)

250以上の検証済みアッセイおよびカスタムのカタログにアクセスしてください 開発ソリューション。

詳しくはこちら
セルバ・アメリカ・エクスパンション・ツアー・ワールド・ワールド・ワールド・ワールド・タイムズスティル002

多発性多分性免疫不全(IHCおよび免疫蛍光)

複雑な表現型生成のために複数のタンパク質を同時に染色する。 細胞と細胞の相互作用の可視化。

詳しくはこちら
ガラス、スライド、イン、ラボラトリー。ハンドイン、ブルー、グローブ、ホールディング

シトゥ・ハイブリダイゼーション(ISH)アッセイ&RNAスコープ®

単純および多重性の両方を通じて、組織内のRNAを検出する ソリューション。

発見の詳細はこちら
Dna、隔離、オン、ホワイト、3d、レンダリング

空間オミックス

空間トランスクリプトミクスを用いて、あなたの研究を次のレベルに引き上げましょう そしてプロテオミクス。

発見する もっと見る
扁桃

画像質量細胞測定法(IMC)

1回のスライドから最大37個のタンパク質バイオマーカーを分析する。 HBRIの画像質量サイトメトリー(IMC)サービス。

詳しくはこちら
デジタル・パソロジー

デジタルイメージングと分析

高度な画像解析に関する当社のソリューションについて、および デジタル病理学。

詳しくはこちら
DSC_0045-2048×1360

初期段階および前臨床組織ソリューション

動物モデルに関するヒストパロジーに関する当社のオファーをご紹介します。 組織交差反応性分析。

詳しくはこちら

解剖学的病理学におけるHBRI卓越センターを発見

専門家にご相談ください。私たちにできることを教えてください 解剖学的病理学を用いて研究を進展させる