バイオマーカーの旅をサポートします

HBRIは、前臨床モデルから臨床試験のための実験室で開発された試験の検証まで、IHCプロトコルの開発において豊富な経験を持っています。科学に基づいた歴史学の専門家は、完全かつ効率的なIHCアッセイの開発、最適化、移行および目的に応じた検証を提供できます。これにより、単純化法または多重免疫化学プロトコル(s)のいずれであっても、研究をその目標に導くことができます。

プロトコルのカタログ

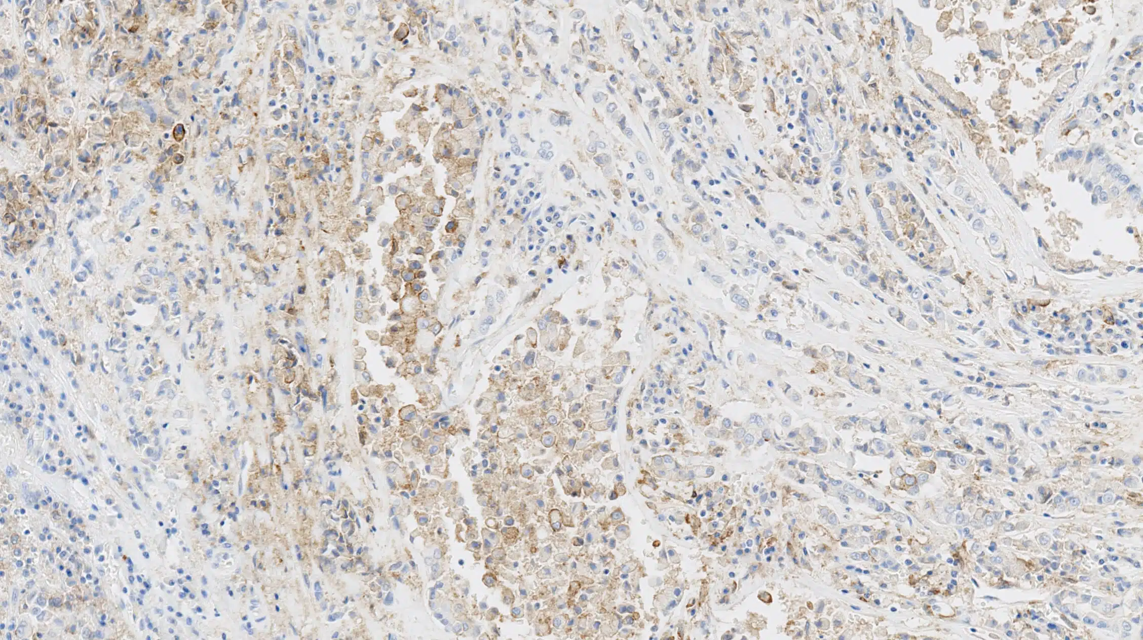
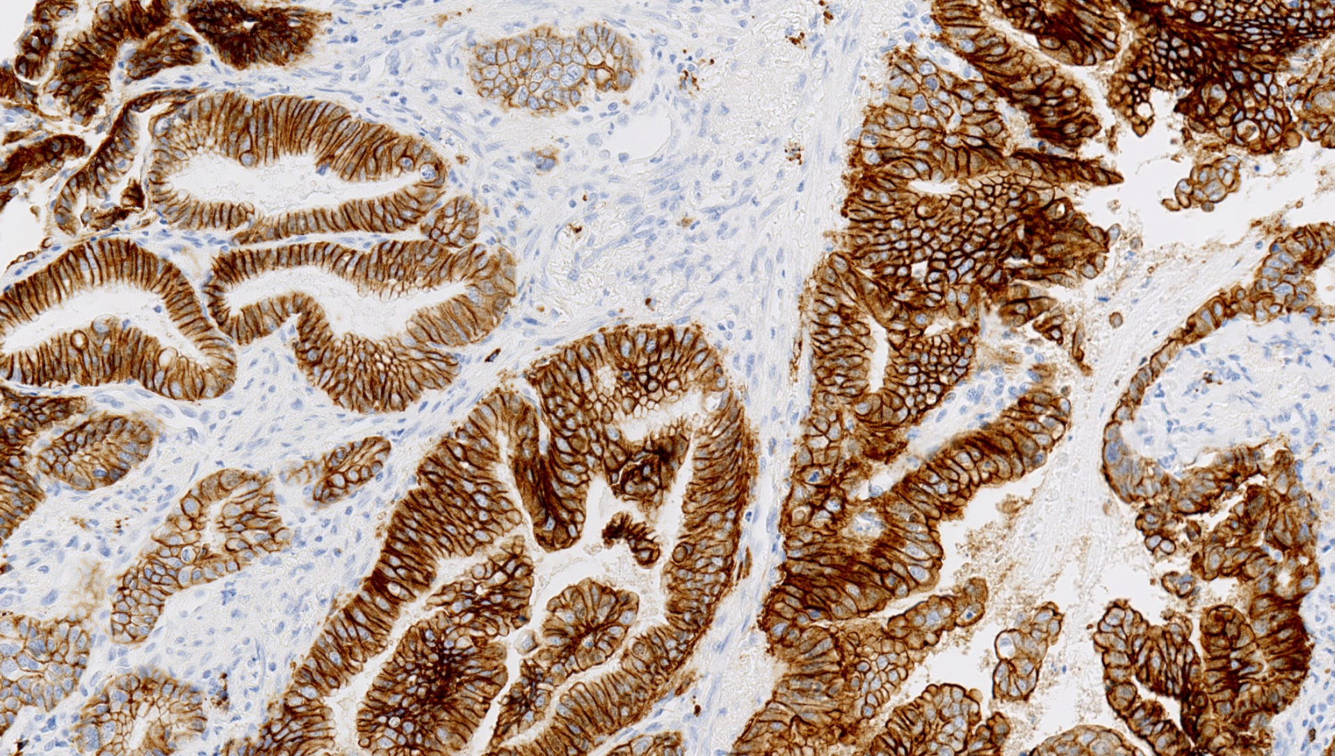
  • IHC biomarkersHBRIは、市販のヒトIHCバイオマーカー250種類以上に加え、動物モデルに関する多様なプロトコルリストを提供しています
  • 当社のカタログは、免疫腫瘍学、皮膚科、免疫学、神経科学、代謝障害など、幅広い研究分野を網羅していますimmuno-oncology,

カスタムプロトコル開発

  • 当社の組織科学チームは、新しい免疫組織化学アッセイの開発と検証に豊富な経験を持っています
  • IVD(Benchmark Ultra、Dako Omnis、Leica Bond III)およびRUO(Discovery Ultra、Leica Bond Rx)プラットフォームを多数取り揃え、試薬や最適化手法に関する豊富な知識を持つ当社は、IHCおよびマルチプレックスIHC向けの標準的な開発ワークフローを高い成功率で提供しています

利用可能なサンプルとコントロール

  • 3,000ブロック以上(冷凍・FFPE、動物・人間・健康・病歴)を含むバイオバンクが拡大しており、政府認定病院25か所以上からなるネットワークとカスタム調達サービスを提供するHBRIは、新たなプロジェクトを加速させることができます
  • カスタム細胞制御および腫瘍マイクロアレイの機能を備えたHBRIは、解剖学的病理学および組織解析において、最も信頼性が高くコスト効率の高いIHCプロトコルの開発および検証手法を提供できるanatomic pathology and tissue analysis

目的確認のための適合性検証

  • 各検証プログラムは、科学者とスポンサーとの共同作業の一環として管理され、高品質な検証計画や報告書に加え、進展に関する頻繁な更新も行われます
  • 一般的な検証パラメータの結果は、病理医、画像解析、および統計チームによってサポートされています
  • 矯正検証のための補完的手法が利用可能である

分析のための選択肢

  • HBRIチームは、IHCセクションから結果を得るための最も適切なアプローチを提供できます。ブライトフィールドと蛍光の両方をスキャンできる能力、臨床および獣医の病理医による広範で多様なネットワーク、およびディープラーニングを含む画像解析のためのソフトウェアソリューションを備えています。

グローバルで調和のとれた実験室能力

  • 米国(ニューヨーク)、ヨーロッパ(モンペリエ、フランス)、アジア(台湾台北)にある3つのヒストロジー研究所が連携し、サンプルがどこで運営されているかにかかわらず、最適な結果を確実に確保しています
  • 標準的な運用手順、品質管理、およびプラットフォームは、完全な透明性を保つための重要な比較可能な要素である

IHCを活用した免疫腫瘍学におけるバイオマーカーの旅

免疫組織化学(IHC)biomarkers技術により、腫瘍生検においてバイオマーカーを同定できる。IHCは、腫瘍の環境におけるバイオマーカーメカニズムをより深く理解する可能性を提供する。

免疫腫瘍学におけるバイオマーカーの旅についてさらに詳しく知る

svg%3E

専門家にご相談ください。免疫組織化学のニーズをどのようにサポートできるかをご確認ください。