シトゥ・ハイブリッド化(ISH)およびマルチプレックスISH

当社の組織分析チームは、さまざまな自動化プラットフォーム(ヴェンタナ・ベンチマーク、ライカボン、ダコ・オムニス)を使用して、FFPEサンプル上での簡易およびマルチプレックスISHアッセイをサポートし、幅広いキットやプローブへのアクセスをサポートできます。

臨床的に検証されたISHを必要とする場合でも、多発性硬膜外膜(ISH)IHC panelsまたはISH+とIHCパネルを組み合わせたモデルであっても、HBRIは組織サンプル中のRNA解析において信頼できるパートナーとなることができます。

魚類

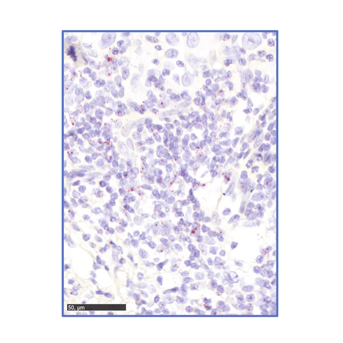
RNAscope®

フランス・モンペリエにあるHBRIの組織解析研究所(旧称:ヒスタリム)は、アドバンスト・セル・ダイアグノスティックス(ACDbio)認定サービスプロバイダープログラムの認定を受けています。

このプログラムはACDbioが直接開始および実施し、認定されたラボがRNAscope®アッセイを使用する際に最高品質のISHデータを提供することを保証します。

svg%3E

RNAscope ISH技術の利点

  • spatial genomics単一細胞レベルでのすべての種類の細胞核酸の感度検出と詳細な局在化を実現する強力な空間ゲノミクスおよびトランスクリプトミクスツール。空間組織の微小環境を維持する
  • ターゲット固有の信号を増幅し、高感度かつ特異性を備えた明確で貴重な結果を提供する
  • RNAscope ISH技術は、免疫腫瘍学、細胞および遺伝子治療、または単一細胞解析など、多くの用途に応用できるimmuno-oncologycell and gene therapy
  • 発色性および蛍光色のラベルの両方で利用可能
  • 単倍、二倍、およびISH/IHCとして使用できます
  • コンビネーション染色
  • 専門アッセイサービスは、臨床および前臨床研究のサポートを提供します
svg%3E

専門家の皆様にぜひご連絡ください。In Situ-Hybridization(ISH)であなたの研究をどのように進めることができるかをご確認ください。